Besoin d'aide? Contactez-nous

Commencer une conversation

Bonjour! Cliquez sur l’un de nos membres ci-dessous pour discuter sur WhatsApp.

L’équipe répond généralement en quelques minutes.

Cabinet Blanc Azur

Cabinet Blanc Azur

Header step 1 Header step 2 Header step 3
Type second background
Hero type second

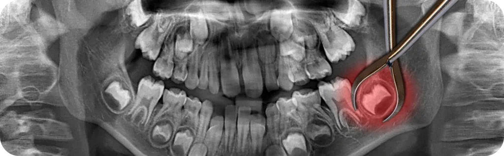
Extraction des dents de sagesse 

Les dents de sagesse, appelées également troisièmes molaires, apparaissent généralement entre 17 et 25 ans. Elles se trouvent tout au fond de la bouche, en haut et en bas. Toutefois, elles posent souvent problème, car elles manquent de place pour sortir correctement. Ainsi, leur extraction devient parfois indispensable. Cette chirurgie orale courante se pratique sous anesthésie locale ou générale, selon les cas. 

Extraction des dents de sagesse  Dr Alexis Duroux, Dentiste à Cannes

Pourquoi faut-il extraire les dents de sagesse dans certains cas ? 

L’extraction des dents de sagesse ne se fait pas systématiquement. En revanche, plusieurs situations justifient une intervention rapide et planifiée. 

  • Manque de place dans la mâchoire 

Tout d’abord, les mâchoires modernes sont souvent trop étroites. Par conséquent, les dents de sagesse poussent de travers ou restent incluses. Dans ces cas, elles peuvent provoquer des douleurs, des inflammations et des troubles de l’alignement dentaire. 

  • Risque accru de caries et d’infections 

De plus, une dent partiellement sortie crée une poche difficile à nettoyer. Cette zone devient un terrain propice aux bactéries. En conséquence, des caries ou des infections locales comme la péricoronarite apparaissent fréquemment. 

  • Pression sur les dents adjacentes 

Par ailleurs, une dent de sagesse peut pousser contre la molaire voisine. Cela entraîne des douleurs, un déplacement dentaire ou une résorption de racines. Dans ce contexte, l’extraction évite des complications à long terme. 

Quelle est la préparation avant l’extraction ? 

Avant toute chirurgie, le praticien réalise une évaluation rigoureuse. Cette préparation limite les risques et permet une récupération plus rapide. 

En premier lieu, un examen clinique complet est réalisé. Ensuite, une radiographie panoramique s’impose. En effet, elle permet de visualiser la position exacte des dents et leur proximité avec les structures nerveuses.

Comment se déroule une extraction de dent de sagesse ? 

L’intervention se déroule selon un protocole précis. Chaque étape est essentielle pour garantir une cicatrisation efficace. 

Extraction des dents de sagesse  Dr Alexis Duroux, Dentiste à Cannes
  • Le choix de l’anesthésie 

Dans la majorité des cas, une anesthésie locale suffit. Toutefois, en cas d’anxiété importante ou de situation complexe, une anesthésie générale ou une sédation consciente est proposée. 

  • Les différentes étapes de l’acte chirurgical 

Une fois la zone anesthésiée, le praticien incise la gencive. Ensuite, il dégage la dent. Si nécessaire, il la sectionne en plusieurs fragments pour faciliter son extraction. Après retrait, la cavité est nettoyée. Enfin, des points de suture sont posés pour refermer la plaie. 

  • Durée de l’intervention 

La durée varie selon la difficulté. Ainsi, une extraction simple prend environ 20 minutes. En revanche, une extraction plus complexe peut durer près d’une heure. 

Que faire après l’extraction pour bien cicatriser ? 

Après l’intervention, les consignes post-opératoires sont essentielles. Elles favorisent une guérison rapide et réduisent les complications. 

  • Douleurs post-opératoires et traitement médicamenteux 

Il est normal de ressentir une gêne. Toutefois, les antalgiques prescrits soulagent efficacement. En complément, un antibiotique peut être prescrit à titre préventif. Il est donc important de suivre l’ordonnance à la lettre. 

  • Gonflement et précautions à prendre 

Le gonflement est fréquent. Pour le limiter, appliquez de la glace sur la joue. Faites-le par sessions de 15 minutes, plusieurs fois par jour. Des ecchymoses peuvent également apparaître. Ce phénomène est généralement temporaire. 

  • Conseils alimentaires utiles 

Pendant quelques jours, privilégiez une alimentation molle, tiède et peu irritante. En parallèle, évitez les aliments chauds, le tabac, l’alcool et les boissons gazeuses. Ces produits ralentissent la cicatrisation et augmentent les risques de complications. 

  • Hygiène bucco-dentaire adaptée 

Un brossage doux reste recommandé, sauf sur la zone opérée pendant les premières 48 heures. Ensuite, un bain de bouche antiseptique peut être utilisé. Toutefois, il ne faut pas l’utiliser immédiatement après l’opération, afin de préserver le caillot sanguin. 

Quelles sont les complications possibles après une extraction ? 

Malgré toutes les précautions, des complications peuvent survenir. Il faut donc savoir les reconnaître rapidement. 

  • L’alvéolite : une douleur persistante

Il s’agit d’une inflammation douloureuse de l’alvéole osseuse. Elle survient si le caillot protecteur est perdu. Ce cas est fréquent en cas de rinçage trop précoce. La douleur devient intense et nécessite une prise en charge rapide par le praticien. 

  • Saignements prolongés : quand s’inquiéter ?

 Un léger saignement est normal pendant quelques heures. Cependant, si celui-ci devient abondant ou persiste au-delà de 24 heures, il faut consulter. Mordre sur une compresse permet souvent de stopper l’hémorragie. 

Extraction des dents de sagesse  Dr Alexis Duroux, Dentiste à Cannes
  • Atteinte nerveuse : rare mais possible 

Dans certains cas, le nerf alvéolaire inférieur peut être touché. Cela provoque une perte de sensibilité du menton ou de la lèvre inférieure. Cette perte est généralement temporaire, mais un suivi s’impose. 

Quel est le temps de cicatrisation complet ? 

La cicatrisation se fait en plusieurs phases. Il convient donc de différencier la fermeture de la gencive et la régénération osseuse. La gencive cicatrise en une à deux semaines. Les fils utilisés sont parfois résorbables. Si ce n’est pas le cas, ils sont retirés au bout de 7 à 10 jours. 

La régénération de l’os prend plusieurs semaines. La gêne diminue progressivement. Néanmoins, il faut éviter les efforts physiques pendant quelques jours après l’extraction. 

À quel âge retirer les dents de sagesse est-il recommandé ? 

En général, on conseille de les extraire entre 17 et 25 ans. En effet, l’os est plus souple et les racines moins développées. Cela rend l’intervention plus simple. Toutefois, l’extraction reste possible à tout âge si une indication est posée. 

Peut-on retirer les quatre dents en une seule séance ? 

Dans certains cas, oui. Cette option limite les allers-retours et réduit la durée totale de récupération. Cependant, elle entraîne un inconfort plus marqué les premiers jours. Il faut donc en discuter avec son praticien avant de prendre une décision. 

Extraction des dents de sagesse  Dr Alexis Duroux, Dentiste à Cannes

Comment bien se préparer avant l’extraction ? 

Une bonne organisation facilite la convalescence. Voici quelques recommandations utiles. Il est conseillé de poser quelques jours de congé. Cela permet de récupérer sans stress. Dormir suffisamment aide aussi à la cicatrisation. 

Préparer des repas adaptés (purées, soupes, compotes) permet de se nourrir sans douleur. Pensez également à avoir des compresses et de la glace à portée de main. Après une anesthésie, il est préférable de ne pas rentrer seul. Organisez un retour avec un proche, en particulier après une anesthésie générale. 

Où se faire retirer les dents de sagesse à Cannes ? 

Vous habitez Cannes ou les environs ? Le Cabinet du Dr Alexis Duroux propose des soins de chirurgie orale, dont l’extraction des dents de sagesse. L’équipe vous accueille dans des conditions adaptées, avec une prise en charge individualisée. En cas de doute ou de douleurs persistantes, une consultation rapide est possible. 

Prenez votre rendez-vous en ligne dès maintenant via

Doctolib
Prenez votre
Contact form

    Contactez- Nous

    Une question ? Nous vous répondons sous 24 heures.

    Contactez-nous via le formulaire ci-dessous.