Besoin d'aide? Contactez-nous

Commencer une conversation

Bonjour! Cliquez sur l’un de nos membres ci-dessous pour discuter sur WhatsApp.

L’équipe répond généralement en quelques minutes.

Cabinet Blanc Azur

Cabinet Blanc Azur

Header step 1 Header step 2 Header step 3
Type second background
Hero type second

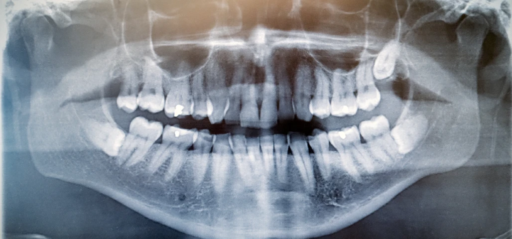
Chirurgie orale

 

La chirurgie orale regroupe un ensemble d’interventions réalisées au niveau de la bouche, des dents et des mâchoires, allant de l’extraction des dents de sagesse aux actes plus complexes comme les kystes, les freinectomies ou les préparations implantaires.

 

Au cabinet du Dr Duroux à Cannes, ces actes chirurgicaux sont pratiqués avec rigueur et précision, dans un environnement sécurisé et adapté. L’objectif est d’assurer une prise en charge efficace, en limitant l’inconfort du patient et en favorisant une cicatrisation rapide.

Chirurgie orale
Chirurgie orale
Chirurgie orale